欢迎您 本站地址:
首页
图片素材
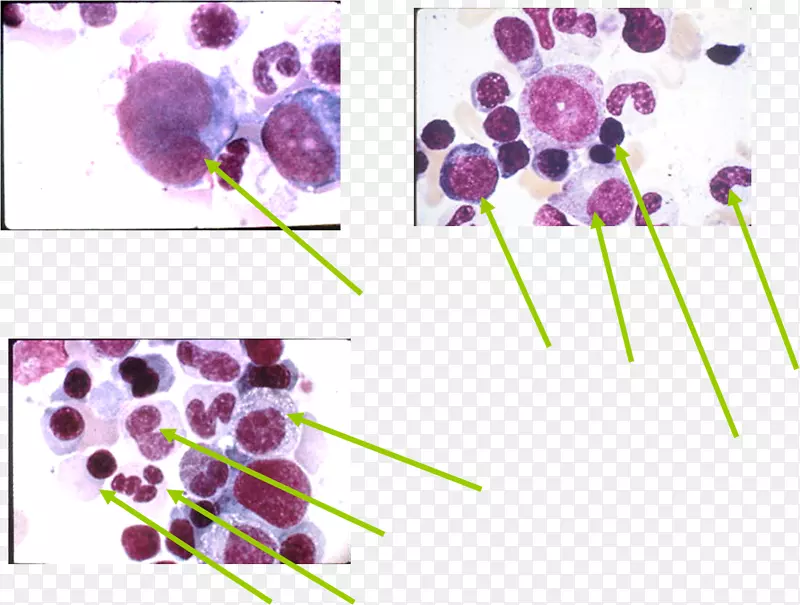
开花植物早幼粒细胞-雪旺细胞-图片素材分享-空若网
图片素材推荐-空若网

向日葵 花 黄色

树 叶 红

水彩画 颜料 湿墨

樱花电脑图标-樱花

郁金香 花朵 植物群

剪贴画花盆png图片室内植物.花卉

水彩 油漆 湿墨

花卉设计切花人造花束

仙女开花植物剪贴画-仙女

叶 花 植物

花卉设计-插花艺术

花盆花卉设计.设计

普通丁香-白色丁香

绿叶黄框

牡丹花瓣水生植物粉红色牡丹

花瓣 粉色 夏威夷木槿

花型-植物花饰彩带

莲藕效应花载体-莲花

切花菊花

切花康乃馨花园玫瑰植物花

樱花枝条插花艺术-樱花树

菊花牛眼雏菊剪贴画-菊花

花 植物 开花植物

花卉 开花植物 植物

花 开花植物 红色

仙人球开的花

花花

静物开花植物艺术画框.金色花边
温馨提示 扫描下方二维码,访问手机版。