欢迎您 本站地址:
首页
图片素材
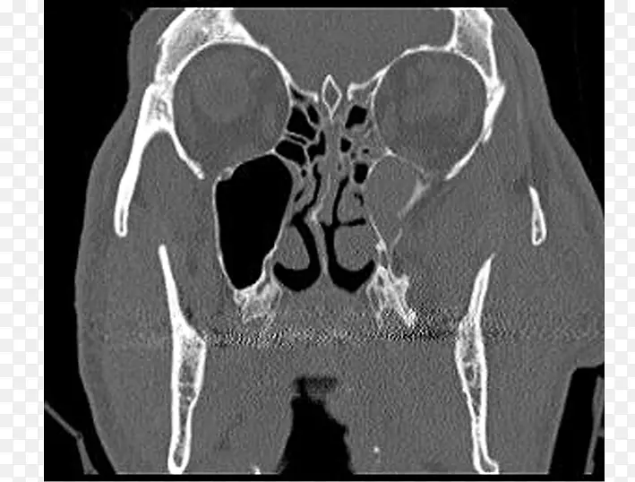
l ketieteellinen r ntgenkuvaus骨X线摄影-骨折-图片素材分享-空若网
图片素材推荐-空若网

高清手绘摄影活动礼盒

画框摄影昆虫剪贴画昆虫

高清摄影活动海报蝴蝶

高清摄影绿色盆栽植物

创新摄影人物装饰素材

摄影夏日水珠飘扬效果

摄影效果巧克力味的威化饼干

摄影图标 数据电缆图标 电源

黄色高清摄影创意环境渲染

照相机摄影剪辑艺术材料照相机

摄影海报素材

礼品摄影圣诞礼物

高清摄影红色辣椒

高清创意摄影效果鼓

高清摄影气垫BB霜

动作摄像头图标 摄影图标 线条

心脏摄影画片艺术-心脏

创意高清摄影白色桃花

高清桑甚摄影

樱花 摄影图 高清 免扣

蟑螂摄影首屈一指的害虫防治-蟑螂

摄影业务-业务

娃娃绘画摄影-娃娃

荡口古镇

高清摄影翩翩起舞的舞蹈家

新鲜荔枝摄影图片

高清摄影手绘红色花朵

高清摄影活动海报纸屑
温馨提示 扫描下方二维码,访问手机版。